Extractions


There is nothing like having your own smile and teeth. Dentists worldwide know that there is no ideal replacement for a natural tooth.

  • We believe that it is best to retain as many natural teeth as possible.

  • With modern dental techniques, many teeth can be saved that would have required extraction in the past.

  • However, sometimes the need does arise for the recommendation to remove teeth.

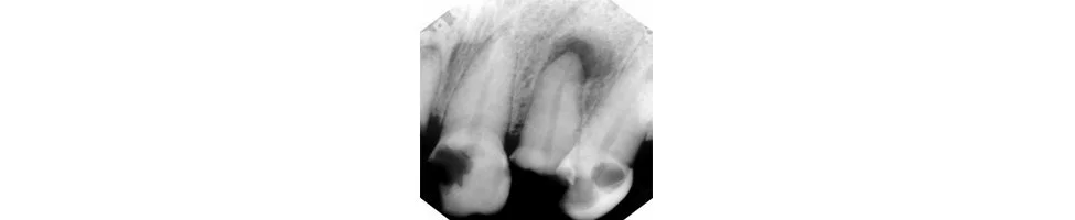
Reasons for extractions:

  • Poor bone support as a result of Periodontal Disease.

  • Severe decay.

  • Root fractures.

  • Poor arch position.

  • Others…